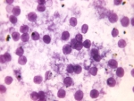
| Ученые собрали геном возбудителя иммунодефицитной пневмонии |

Получение информации о геноме возбудителя пневмоцистной пневмонии поможет выявить мишени для лекарственной терапии воспаления легких у людей с иммунодефицитом. До сих пор исследования этого микроорганизма были затруднены невозможностью его культивирования в лаборатории. Метагеномные данные о грибе, вызывающем пневмоцистную пневмонию, доступны исследователям во всем мире....
»»
|
 |
 |
| Учащимся Филадельфии раздали бесплатные презервативы |

В трети колледжей Филадельфии (22 учебных заведениях) власти города установили автоматы с бесплатными презервативами. Это было сделано с целью борьбы с эпидемическим распространением заболеваний, передающихся половым путем (ЗППП), среди подростков.Власти Филадельфии начали распространять бесплатные презервативы в городе с апреля 2011 года....
»»
|
 |
 |
Борисоглебские роженицы уличили чиновников в клевете
Беременные женщины, занявшие помещения роддома в поселке Борисоглебский Ярославской области в знак протеста против его закрытия, выступили с обращением к представителям областных властей, в котором уличают чиновников в клевете. В частности, они заявили, что, вопреки утверждениям представителей властей, продолжают свою акцию и в их действиях нет никакой политики. | Пациенты свердловских поликлиник смогут следить за очередями онлайн
Во всех поликлиниках Свердловской области для борьбы с очередями установят видеокамеры, изображение с которых будет транслироваться онлайн в сети интернет. В целях борьбы с невежливостью и хамством главврачам рекомендовано набирать сотрудников регистратуры среди людей с педагогическим образованием. |
 |
 |
Правительство утвердило программу развития здравоохранения в РФ до 2020 года
Глава кабинета министров Дмитрий Медведев утвердил госпрограмму развития здравоохранения в РФ на период до 2020 года. Ее презентация на заседании правительства 15 ноября вызвала бурные споры между его участниками. На программу планируется потратить более 33 триллионов рублей, а результатом ее реализации должно стать увеличение ожидаемой продолжительности жизни до 74,3 лет. | Токарь из Екатеринбурга ранил врача сервировочным ножом
Молодой отец из Екатеринбурга ранил заместителя главврача роддома ГКБ номер 40, требуя выписки жены и новорожденного ребенка. Инцидент произошел в пять утра, когда молодой отец пришел в роддом вместе со старшей дочерью и попытался навестить жену. |
 |
 |
Медведев утвердил миллиардные субсидии на закупку лекарств
Премьер-министр России Дмитрий Медведев утвердил предложенный Минздравом размер субсидий на закупку лекарств для тяжелобольных пациентов, страдающих гемофилией, муковисцидозом, рассеянным склерозом, от ряда новообразований, а также после трансплантации органов. Всего в 2013 году на эти цели будет выделено более одного миллиарда рублей. | Развитие рассеянного склероза отследили по сетчатке
Американские ученые разработали методику, позволяющую отслеживать прогрессирование заболевания у пациентов, страдающих рассеянным склерозом, по толщине сетчатки глаза. Для мониторинга состояния сетчатки глаза использовалась методика исследования тканей, которая широко применяется в офтальмологии оптическая когерентная томография. |
 |
 |
| Власти назвали закрытие борисоглебского роддома неизбежным
| Воспитанники корректирующих детсадов с Нового года могут лишиться медуслуг
|
 |
| Американским младенцам разрешили принимать "Тамифлю"
| В читинской поликлинике обнаружена боевая граната
|
 |
| Защитники роддома обратились к Путину | Определены приоритеты стратегии лекарственного обеспечения |
 |
 |
| Известный ярославский анестезиолог погиб в ДТП | Аутизм связали c повышенным синтезом белков |
 |
 |
| Установлен механизм болеутоляющего действия марихуаны | В Красноярском крае не хватает семи тысяч врачей |
 |
 |
| Информатизацию здравоохранения продлили на год | В Ярославской области роженицы захватили роддом |
 |
 |
| Минтруда отчиталось об увеличении зарплаты медиков | Житель Ставрополя обстрелял скорую помощь из травматики |
 |
 |
| Ижевские педиатры приготовились объявить "итальянскую забастовку" | В устойчивости рака простаты к гормонотерапии оказались виноваты 16 генов |
 |
 |
| Канадское транспортное агентство запретило перевозки лабораторных животных | Действие снотворных связали с эффектом плацебо |
 |
 |